SNUCONE
Офис-курс 17 декабря
Нижнекамск
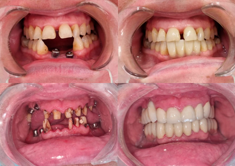
Операция «Все на 4»
на имплантах Snucone
Врач хирург-имплантолог
Владимир Шипков
Владимир поделится своим
15 летним опытом работы:
10 лет имплантации
6 лет работы на Snucone
Сотни клинических случаев
Программа офис-курса
На обучении на реальном пациенте рассмотрим процесс имплантации от выбора имплантов.
Во время операции пройдем протоколы установки для предсказуемых результатов, обучающиеся будут ассистировать во время операции, проговорим дальнейший план лечения.
После операции обсудим нюансы выбора размеров имплантов и почему Владимир при всем многообразии остановился на Снукон.
1
2
3
Записаться на офис-курс
17 декабря Нижнекамск
Участие бесплатно
при покупке 10 имплантов Snucone
или 10 тыс.руб. зачтем их при следующей покупке.
Для записи на курс и по всем вопросам, пишите менеджеру
Если удобней позвонить,
звоните 8 (937) 578-76-00 (Василий)
Чтобы было комфортно следить за операцией, мы выделили 4 места. Сейчас 2 свободно.